Elaine Bogdanoff Orthodontics, Orthodontics for Children & Adults in Cherry Hill, NJ (New Jersey)

Orthodontist Elaine Bogdanoff, DMD
411 East Route 70 | Cherry Hill, NJ 08034
Phone (856) 429-9419

Creating Art one

  

Smile at a Time......

  

The Bogdanoff Orthodontics

Before and After Gallery.  

 

 

These are a few of our family 

of patients who have found

a greater level of happiness

and confidence with their

new smile and offered to share

their before and after smile with 

you.

 http://mysmileconsult.com/practice/750

 

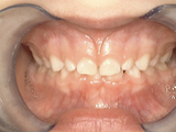
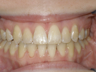
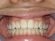
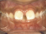
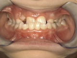
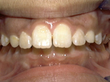
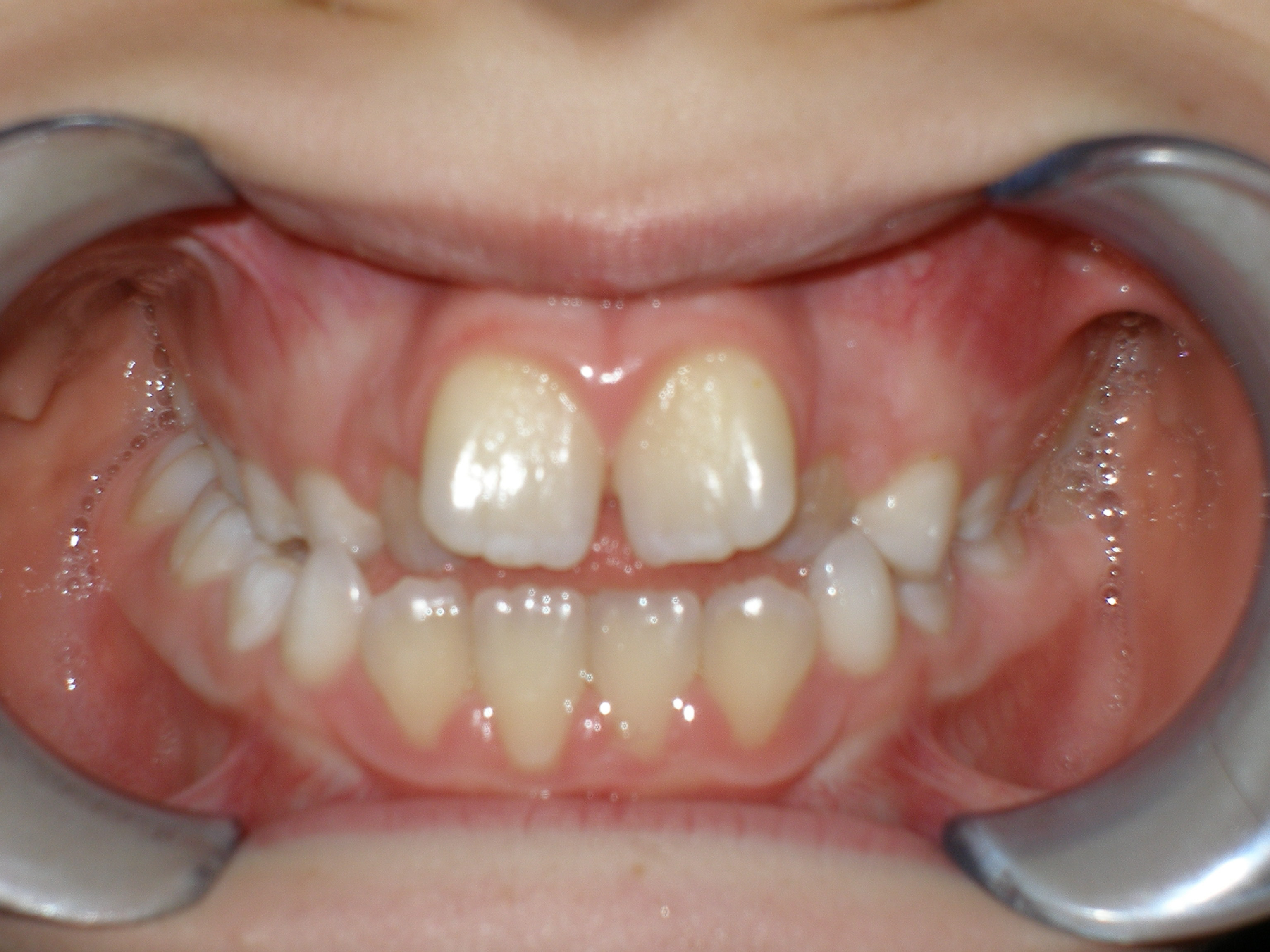
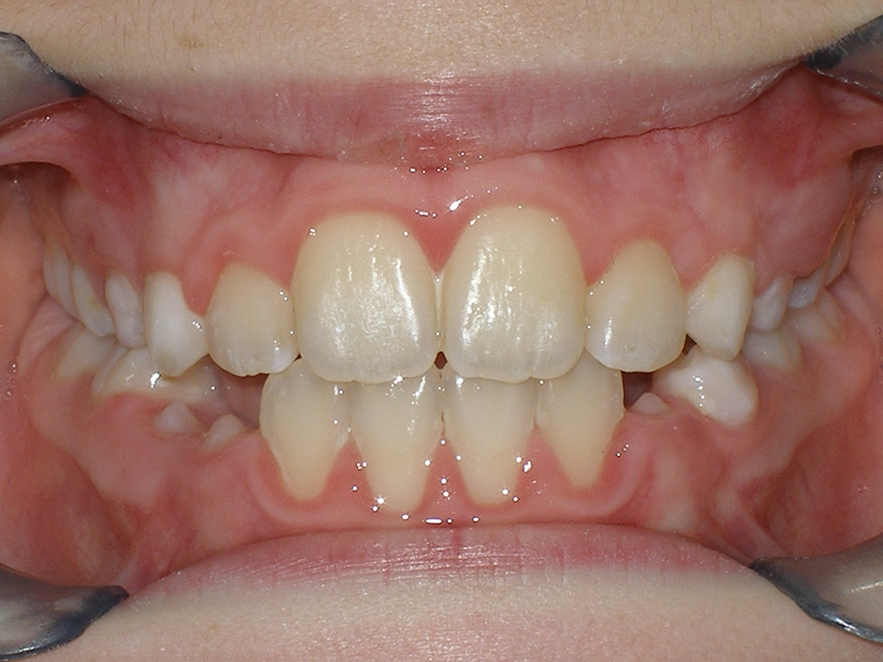
 Stephanie
Stephanie Stephanie
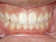
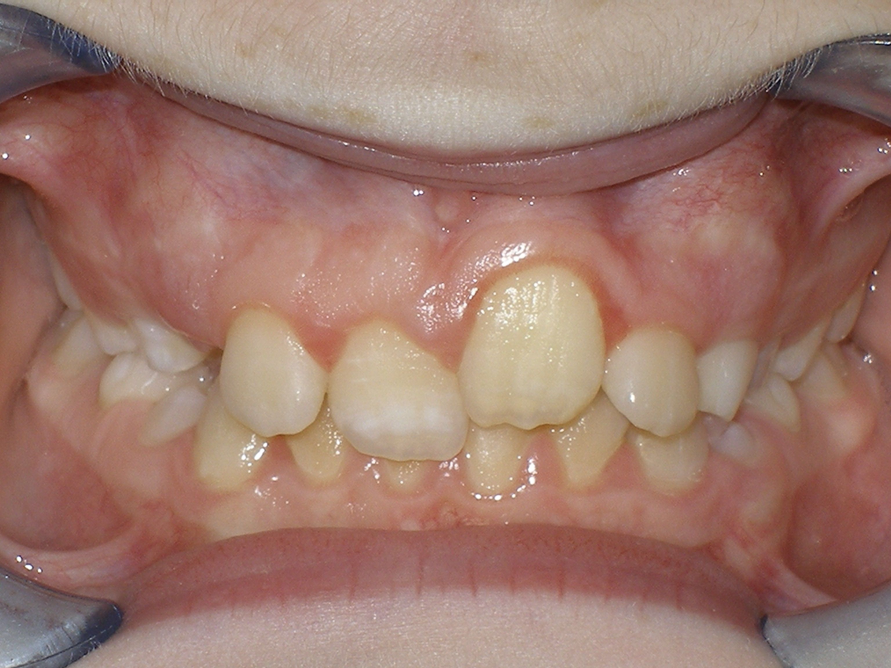
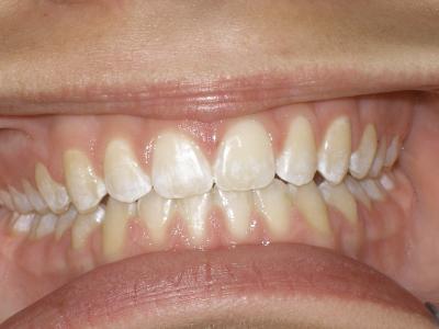
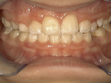
Before After
 

 

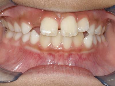
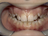
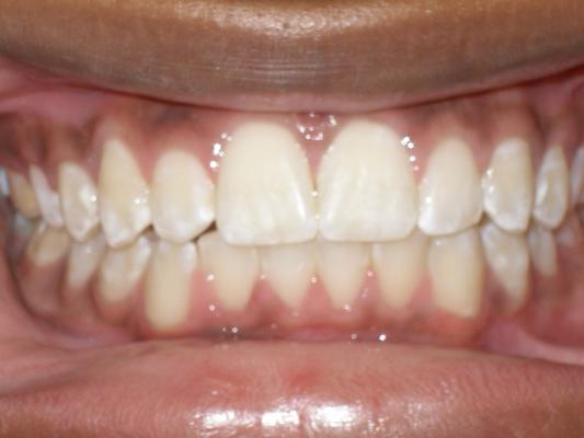
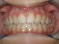
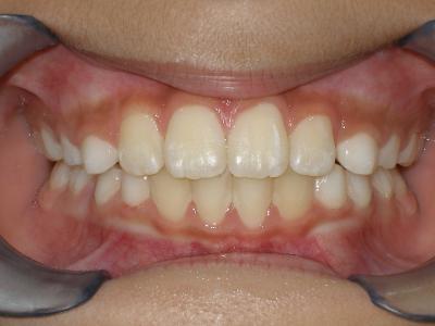
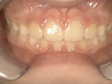
Joelle
Joelle Joelle
Before After
 

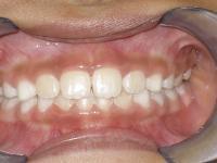
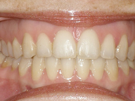
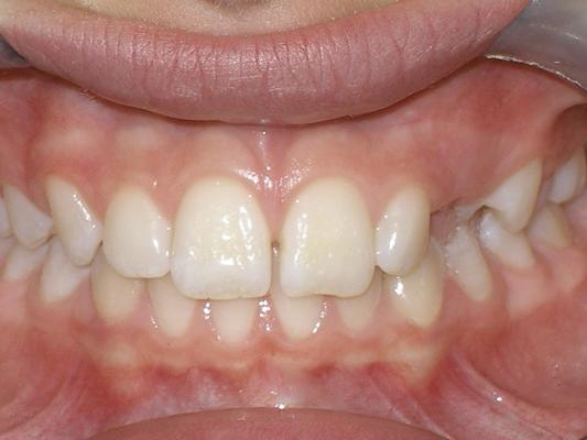
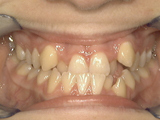
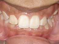
Ashtyn
AshtynAshtyn
Before After
 

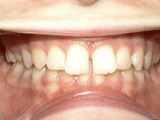
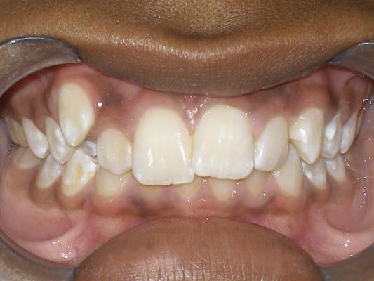
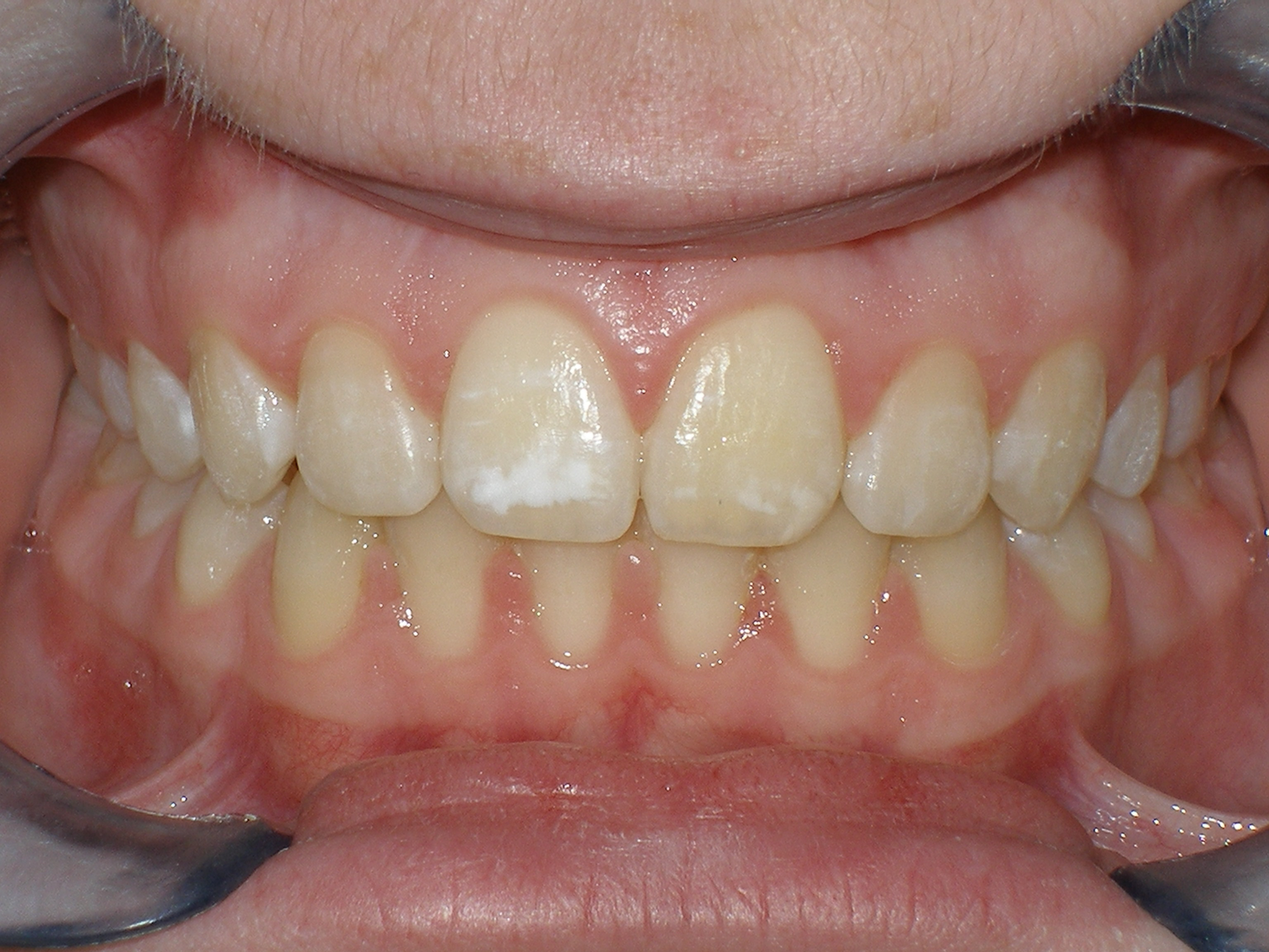
Emilie
EmilieEmilie
Before After
 

Robin
Robin Robin
Before After
 

Before After
Before After
 

Sarah
Phase 1
Sarah Sarah
Before After
  

Sarah
Phase 2
Sarah Sarah
Before After
 

Matthew
Phase 1
Matt Matt
Before After
 

Matthew
Phase 2
Matt Matt
Before After
 

Lana

Lana Lana
Before After
 

LJ
LJ LJ
LJ LJ
 

Brielle
Brielle Brielle
Before After
 

Eric
Eric Eric
Before After
 

Justin
before Justin
Before After

Gabriella 

 
 

Sophia

 
 

 

 

 

(856) 429-9419

Located near
Barclay Farm, Cherry Hill

New Patient Sign-Up

New Patient Sign-Up

and more

Contest winners

Directions

Patient Access

Doctor Access

Hours:
Mon-Thurs: 7:45-5pm